A Case of Recanalization of Right Internal Carotid Artery Occlusion
Date:2026-01-22Category:Case ReportsViews:65
Zenith devices used in this case:

Patient Information
- Male, 65 years old
- Left upper extremity weakness for approximately 6 weeks
- Left and right extremities: Grade 5
Preoperative Angiography
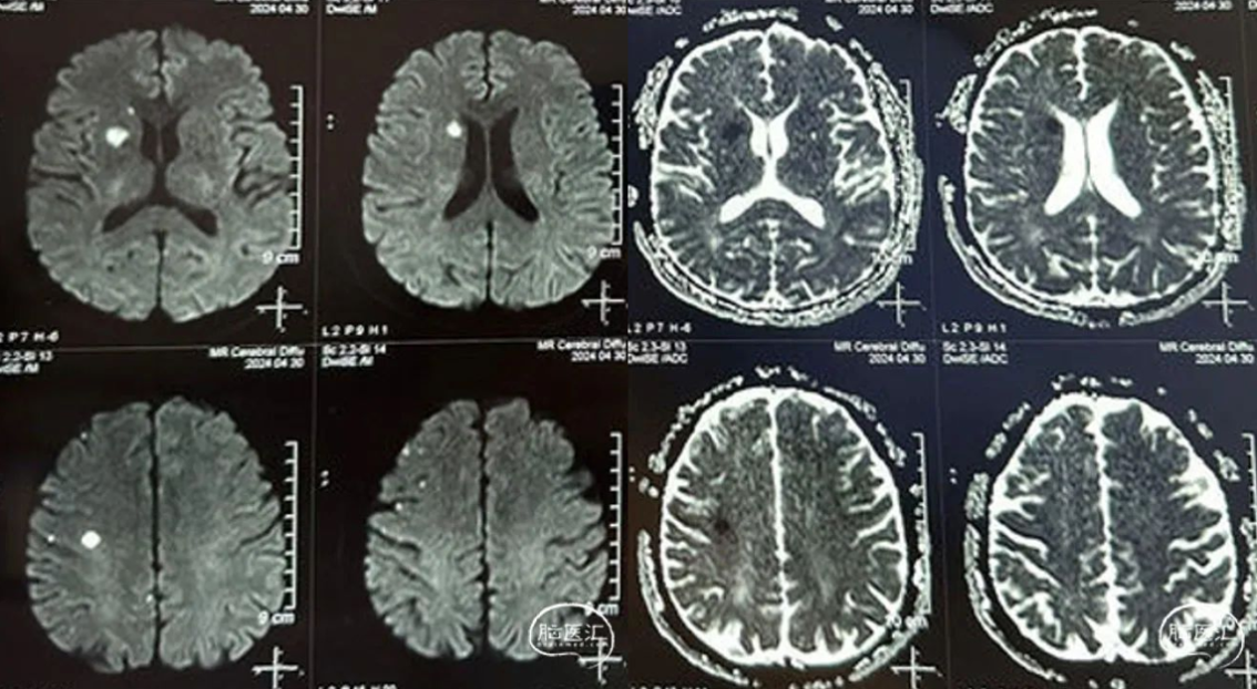
MRI from another hospital showed acute cerebral infarction in the right basal ganglia and frontal lobe.

CTA from another hospital indicated Right internal carotid artery occlusion.

Devices
- 5F VER diagnostic catheter
- Glidewire
- 5F 125cm MPA1 Catheter
- 6F 90cm Long Sheath
- 6F 115cm Zenith Distal Access Catheter
- 2m Micro Guidewire, Transend™ 300 Micro Guidewire
- Echelon-10 Microcatheter
- 2mm*15mm、3mm*15mm Intracranial Balloon Dilatation Catheter
- 3mm*20mm Intracranial Drug-eluting Stent
- 4mm*15mm Resolute Integrity RX Stent
- EDPA-060-190 Embolic Protection System
Procedure
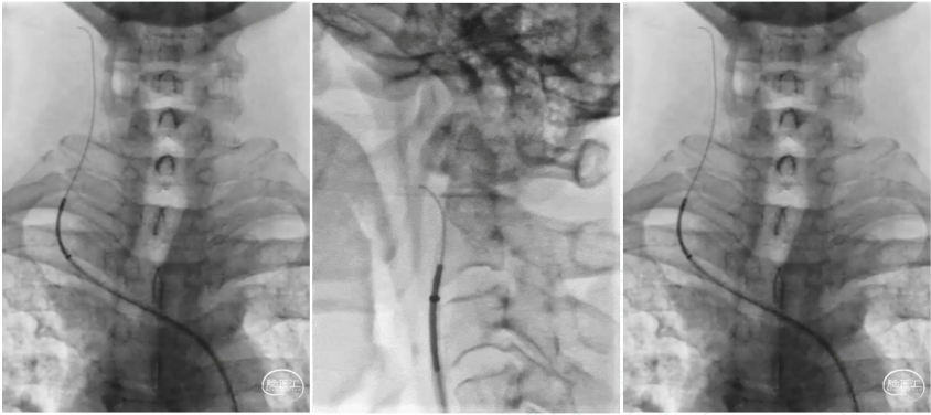
Right femoral artery access was obtained, and an 8F femoral sheath was inserted. Angiography revealed complete occlusion of the right ICA from the C1 segment to the intracranial portion. Collateral circulation to the right ICA territory was provided via the ophthalmic artery from the right external carotid artery. The anterior communicating artery was not visualized. The vertebral artery supplied the ICA territory through the posterior communicating artery.

A coaxial system composed of a glidewire, a 125 cm MPA1 catheter, and a 6F 90 cm sheath was advanced into the right common carotid artery. The long sheath was positioned at the proximal bifurcation of the right CCA. The occlusion was crossed using the glidewire and MPA1 catheter, followed by advancement of the 6F 115 cm Zenith Distal Access Catheter through the occlusion.

Multiple aspiration passes were performed from the C1 to C4 segment of the right ICA using Zenith Distal Access Catheter, retrieving a large volume of dark, organized thrombus. Repeat angiography revealed severe residual stenosis (~70%) at the C1 segment with a suspected dissection and poor visualization distal to the cavernous segment.

Zenith Distal Access Catheter was advanced to the cavernous segment of the right ICA. A 2m microwire and an Echelon-10 microcatheter were used to navigate through the occluded ophthalmic segment to the M1 segment of the right MCA. The Echelon-10 was then exchanged for a Transend™ 300 microwire.

Sequential angioplasty of the ICA was performed using a 2.0 mm × 15 mm balloon catheter, followed by a 3.0 mm × 15 mm balloon catheter. Post-dilation angiography demonstrated improved flow through the cavernous segment.

Stenting was performed by advancing a 3.0 mm × 20 mm intracranial drug-eluting stent and a 4.0 mm × 15 mm Resolute Integrity RX stent to the stenotic segment over the Transend™ 300 wire. Both stents were successfully deployed under roadmap guidance, with angiography showing improved luminal diameter and residual stenosis of approximately 20%.

An EDPA-060-190 embolic protection device was introduced via Zenith Distal Access Catheter and positioned in the C2 segment of the ICA. Under fluoroscopy, the filter was seen to open and appose well to the vessel wall. A 7 mm × 50 mm self-expanding stent was deployed at the site of residual stenosis with precise positioning. Post-deployment angiography demonstrated resolution of the dissection and significant improvement of C1 segment stenosis. The protection device was retrieved without visible embolic debris.

Postoperative Angiography
Final angiography in both anteroposterior and lateral projections confirmed restored flow through the right ICA, with good opacification of both the MCA and ACA, without flow limitation.

Surgeon's Notes
- The procedure was performed under general anesthesia via radial artery puncture. General anesthesia may reduce the risks of radial artery occlusion and spasm, thereby minimizing complications.
- Thrombus migration occurred intraoperatively. Whether the use of a BGC or direct aspiration could reduce the risk of thrombus migration requires further investigation.
- In this case, the Zenith Distal Access Catheter provided stable support, enabling the use of a 3 mm × 15 mm small stent retriever for distal thrombectomy. This approach minimized potential complications while maximizing patient benefit.